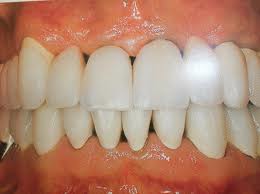
Oclusión
Cada parte del
sistema de masticatorio fue diseñado para un propósito específico Se denomina
Oclusión dental al contacto de los dientes en cuánto a su función y su para
función, es decir, la relación entre las arcadas y la interface oclusal.
También se hace referencia con este término a todos aquellos factores que están
ligados con el desarrollo del sistema masticatorio, así como también la
estabilidad del mismo, el uso adecuado de las piezas dentales y la conducta
motora de la boca.
Mal Oclusion
Una mal oclusión se
refiere al mal alineamiento de los dientes, superiores e inferios que encajan
entre si, la mayoría de las personas tienen un grado de mal oclusión algunas
mas severos, y requieren de tratamientos o como algunas no.
Aquellas que tiene
mal oclusión mas severas deben de realizarse tratamientos de ortodoncia, para
corregir el problema.



